「読影時間短縮とPPV向上を両立」
受診勧奨数を増やすことなく陽性的中率を向上させた
浦添総合病院健診センターにおける
Plus.CXR導入16か月の実績
浦添総合病院健診センターでは2024年4月より、胸部X線AIとしてプラスマン合同会社製のPlus.CXRを導入しました。本稿では、利用開始から16か月における使用経験と、その実績について報告します。
浦添総合病院健診センターにおける健診現場の課題
2024年度に浦添総合病院健診センターで受け入れた健診総利用者数は、のべ41,467人でした。うち胸部X線検査が施行された利用者は37,632人でした。稼働日1日あたりの平均受診者数は147人です。
内科診察を受ける全受診者の胸部X線検査を担当医師が診察時に判定し、1次読影結果として説明する方針としております。
当センターの健診内科診察は、受診者が若干少ない土曜日午前と平日の午後以外は、常勤医師3人と非常勤医師1人による4診体制で行われます。
11次読影の課題
著者は呼吸器外科専門医ですが、残りの常勤医師と、ほとんどの非常勤医師は呼吸器疾患にかかわる専門性はありません。それでも、すべての受診者の胸部X線検査を診察時に判定し、1次読影結果として説明する必要があります。
健診内科診察担当医は、原則としてすべての受診者の内科診察を行うと同時に、胸部X線検査・心電図検査・血液、尿、便などの検体系検査・呼吸機能検査や各種超音波検査などの生理検査等の結果を総合的に吟味したうえで受診者の健康状態を判定し、結果説明をおこないます。比較的、短時間で胸部X線検査診断を行い、1次読影結果として受診者に説明する必要があります。
22次読影の課題
健診内科診察時の胸部X線検査の1次読影による判定後、すべての胸部X線検査に対し著者および、浦添総合病院の呼吸器外科専門医2人、放射線科専門医1人が2次読影にあたります。要精査判定にあたっては、原則として1次読影あるいは、2次読影で要精査と判定されたすべての受診者に受診勧奨を行い専門医療機関への紹介状を発行することにしております。
2次読影にあたる呼吸器外科専門医と放射線科医のうち、当センターの専従医師は前述のとおり、著者1人です。残りは浦添総合病院の勤務を兼務しており、日常業務の合間を縫って健診胸部X線検査の読影にあたっています。
一般的に、健診における胸部X線検査診断の役割は、健診後すみやかに治療や、さらに詳細な検査が必要となる病的異常所見の有無を正確に判定することです。すなわち病的異常の詳細な診断ではなく、異常の存在を明らかにするスクリーニングが重要視されております。
「偽陰性判定を極力ださないこと。言い換えれば、陰性尤度比を最小限にすること」が常に望まれるところです。
そこで、浦添総合病院健診センターが胸部X線AI「Plus.CXR」を実装することで、各医師の胸部X線検査診断を支援し、病的異常の有無を見極める精度を上げる方針としました。
胸部X線AI「Plus.CXR」への期待
胸部X線AI「Plus.CXR」の実装にあたって、当センターでは以下の2つの効果を重要視しております。
11次読影者(ほとんどが非専門医)の胸部X線検査診断の支援
健診内科診察担当医は、原則としてすべての受診者の内科診察を行うと同時に、胸部X線検査・心電図検査・血液、尿、便などの検体系検査・呼吸機能検査や各種超音波検査などの生理検査等の結果を総合的に吟味したうえで受診者の健康状態を判定し、結果説明をおこないます。比較的、短時間で胸部X線検査診断を行い、1次読影結果として受診者に説明する必要があります。
胸部X線AI「Plus.CXR」を実装することで、1次読影者間での判定のばらつきが減り、判定までに要する作業時間の短縮が期待されました。ただし、AIでの異常検出の閾値の設定は大きな課題であり、AI支援により、擬陽性判定が増えることで、むしろ必要のない精密検査が増えることは極力回避すべき事態です。
22次読影者(ほとんどが非専門医)の胸部X線検査診断の支援
2次読影にあたる呼吸器外科専門医と放射線科医のうち、当センターの専従医師は前述のとおり、著者1人です。残りは浦添総合病院の勤務を兼務しており、日常業務の合間を縫って健診胸部X線検査の読影にあたっています。2次読影者に対しても、胸部X線AI「Plus.CXR」には、読影にかかわる時間の短縮の効果が望まれると同時に、異常所見の見落としの可能性を最小限にする効果を期待しております。
胸部X線検査読影の手順
ここで胸部X線検査読影の手順を紹介します。内科診察室(あるいは2次読影室では)画像診断専用のモニターが2機準備されており、健診当日の胸部X線結果と直近の胸部X線画像が同時に供覧され、直ちに比較読影が行われます。さらに当日の胸部X線画面をスクロールすると、当初モニターで観察された2画像の経時的差分画像(サブトラクション画像)が表示されます。
さらにスクロールすることで、胸部X線AI「Plus.CXR」画像が表示されます。手元のマウスのコントローラーで容易に画像を切り替えられる仕様となっております。原則として、検査同日に2次読影判定を終了しております。
胸部X線検査の最終判定は、1次および2次読影判定結果で最も重い判定結果が採用され、精密検査の受診勧奨が行われることになっております。
著者の2次読影プロセス
著者は以下の手順で、胸部X線検査の2次読影をおこなっております。
第1段階:初期評価
まず、初期段階で2画面に表示された健診当日の胸部X線検査画像と直近の過去画像を参照します。
第2段階:差分の確認
引き続き、健診当日の現画像画面をスクロールし、比較読影用に設定されている経時的差分画像(サブトラクション画像)を表示し、初期表示された2画面の差分を参照します。
第3段階:AI所見の参照
さらに差分画像画面をスクロールし、胸部X線AI「Plus.CXR」画像を表示し、AI所見を参照します。
第4段階:総合判定
これら一連の読影作業後に、当日撮影された現画像を再度参照しなおすとともに1次読影結果を踏まえて、最終判定をおこないます。
第5段階:困難症例への深掘り
以上の作業での最終判定に迷う症例が、多々発生します。その際には、初期画面で表示される直近の胸部X線検査から、さらに数年過去の胸部X線検査にさかのぼり参照し、加えて取得可能な場合は、過去のCT画像等も参照のうえ、現画像との比較をおこないます。
そして、当日入手した問診や身体診察の状況を踏まえ総合的に判断します。
最終判定に至る過程で、当日の胸部X線検査以外にも複数の過去画像を参照するために、十分な集中力や時間を要する作業が発生するわけです。
Plus.CXR実装後の精密検査の実施状況
胸部X線AI「Plus.CXR」実装前後での、胸部X線検査診断における精密検査の実施状況は、実装前の2022年度には34,873件の胸部X線検査に対し、960件(2.8%)の異常を検出し、精密検査が勧奨されました。
同じく実装前の2023年度には、35,878件の胸部X線検査に対し、921件(2.6%)の精密検査が勧奨されました。
胸部X線AI「Plus.CXR」実装後の2024年度の実績は、37,562件の胸部X線検査に対し、991件(2.6%)の精密検査が勧奨されました。
原発性肺癌を含む悪性腫瘍の発見は、実装前の2022年度6人、2023年度5人、胸部X線AI「Plus.CXR」実装後の2024年度は10人となりました。
当センターでは前述のとおり、1次読影で異常あり(人間ドック学会D判定:要治療・要精査)と判定された場合、2次読影の判定結果にかかわらず、精密検査の受診勧奨を行います。胸部X線AI「Plus.CXR」実装後に精査の受診勧奨数が増加することはなく、悪性腫瘍の発見にかかわる陽性的中率は上がりました。この点に関しては当初期待した効果が得られたものと判断します。
Plus.CXR実装後の読影作業
胸部X線AI「Plus.CXR」を実装してからは、健診当日の胸部X線検査画像の参照時間短縮には大いに効果を感じております。
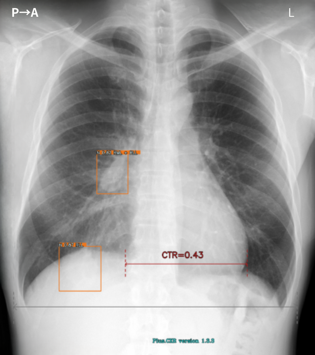
胸部X線AI「Plus.CXR」が指摘する、正常な乳頭陰影や肋骨肋軟骨移行部周囲の軟骨の骨化(Ossification)、各所の胸膜肥厚所見などの精査不要の陰性所見をより短時間でルールアウトできるようになりました。
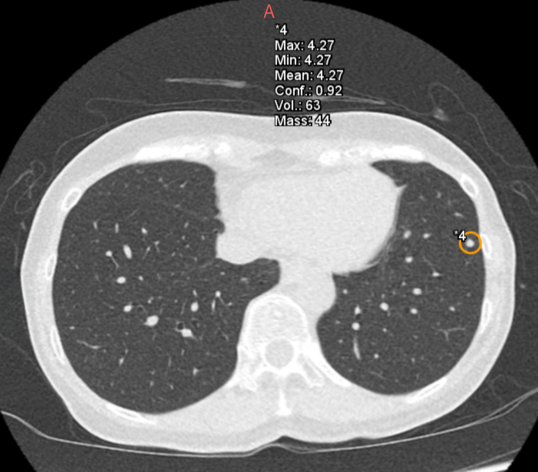
また、胸部X線AI「Plus.CXR」では著者が通常は指摘できない、径5mm前後の比較的小さな病変を指摘できます。
加えて、肺門部周囲の太い血管陰影とシルエットが明瞭に存在する淡い透過性の低下部を指摘することができました。これらは、十分な集中力で画像を参照していない場合見落とす可能性が高い所見だと思料されます(図1,2,3)。
Plus.CXRへの期待
2024年4月より、胸部X線AI「Plus.CXR」を実装することで、読影作業に要する所要時間が短縮しました。また、精密検査での陽性的中率が向上しました。
今後、複数の過去画像所見を同時に加味した読影支援を行うことができれば、2次読影における作業時間は格段に短縮します。
また、他のモダリティの過去の画像診断結果を統合して行われる複合的読影支援が可能になれば、より精度の高い診断につながることが期待されます。
浦添総合病院健診センター
先日、沖縄県名護市瀬嵩で2012年に開校されたエナジックゴルフアカデミーのホームコース、エナジック瀬嵩カントリークラブを訪れました。今年に入ってから一般ゴルファーのプレーを受け入れ始めたのを機に、著者も浦添総合病院健診センターの同僚と同行しました。昭和の世に、名だたるプロレスラー"タイガーマスク"を輩出したのが「虎の穴」でした。エナジック瀬嵩カントリークラブは、さながら「令和の虎の穴」にふさわしい激難コースだとあらためて認識できました。著者はコース名物の9番ホール、200ヤードの谷越えには見事に成功しました。しかし、今回は随所に配された難所で見事にスコアを重ねることになりました。トータルスコアは機密事項にさせていただきますが、あらためて成長できるいい機会をいただきました。
社会医療法人仁愛会 浦添総合病院 健診センター 院長
1988年 徳島大学医学部医学科卒業
1998年 浦添総合病院 入職
2002年 浦添総合病院 呼吸器外科部長
2016年 浦添総合病院 病院長
2022年 浦添総合病院健診センター 副院長
2024年 浦添総合病院健診センター 院長
本稿に登場した製品情報
■ 販売名: Plus.CXR プラスシーエックスアール
■ 認証番号: 301AGBZX00004000
■ 一般的名称: 汎用画像診断装置ワークステーション用プログラム
■ 製造販売業者: プラスマン合同会社
